Fall 2023 - Vol. 18, No. 3

SCIENTIFIC REPORT
 
A Flare-up of Waldenström Macroglobulinemia after a
Second SARS-CoV-2 Vaccine

 
dumasia

Lena Dumasia, MD
Hematologist/Oncologist, Lancaster Cancer Center
 
INTRODUCTION
This scientific report describes a patient diagnosed with Waldenström macroglobulinemia in 2002. The patient was being treated with ibrutinib, an oral Bruton tyrosine kinase inhibitor, since September 2014. Her disease was stable on ibrutinib for more than six years.

Two weeks after receiving the second Moderna SARS-CoV-2 vaccine in February 2021, the patient developed a near-fatal flare-up of her Waldenström macroglobulinemia which required urgent chemotherapy for recurrent pleural effusions and a yearlong rehabilitation. Her Waldenström macroglobulinemia stabilized after eight rounds of chemotherapy.

CASE REPORT
The patient was initially seen in the office on May 13, 2002, as a new patient with severe fatigue and was found to have normochromic normocytic anemia (Hgb 9.7 g/dl, MCV 91 fl), an increased erythrocyte sedimentation rate of 130 mm/Hr, and increased total protein of 10.1 g/dL (ref. 6.4-8.9 g/dL). A serum protein electrophoresis (SPEP) and quantitative immunoglobulins revealed an IgM level of 7,340 mg/dl (ref. 50-300 mg/dl) with normal IgA and IgG levels. Her viscosity on presentation was elevated at 3.4 (ref. 1.5.1.9). Urine immunofixation was negative. Bone marrow biopsy was performed, with results consistent with a Waldenström macroglobulinemia.

The patient was initially treated for the newfound diagnosis with fludarabine-based chemotherapy in June 2002. She also underwent plasmapheresis because of neurologic symptoms due to her elevated viscosity level on June 26, 2002. She was next treated with Rituxan® as a single agent weekly for four weeks during periodic flare-ups of her Waldenström macroglobulinemia until January 27, 2011; with Treanda® and Rituxan® from November 22, 2011, to February 17, 2012; and with a dexamethasone/rituximab/cyclophosphamide regimen starting on February 28, 2014.

After her treatments, her IgM level declined to approximately 1,200 mg/dl. Finally, on September 4, 2014, after her IgM level started rising and then increased to a new level of 2,470 mg/dl, she was started on ibrutinib, an oral Bruton tyrosine kinase inhibitor approved for Waldenström macroglobulinemia.

For the next six years, the patient remained stable and asymptomatic on ibrutinib with no changes in her regimen. Her IgM level was also stable, declining after initiation of ibrutinib and ranging between 600 and 1,200 mg/dl during the entire course of this therapy. Additionally, in 2016 she was found to have hypogammaglobulinemia, which can be associated with lymphomas. For this associated diagnosis, intravenous immunoglobulin (IVIG) was initiated on October 31, 2016; she received this every three to four weeks continuously. She was on ibrutinib with stable IgM levels until March 2021.

The patient received her first Moderna SARS-CoV-2 vaccination on January 30, 2021, and her second Moderna SARS-CoV-2 vaccination on February 27, 2021. Her IgM level rose to 1,511 mg/dl on March 12, 2021. Her Hgb declined to 10.3 g/dl, as noted in our clinic on March 12, 2021. Prior to this decline, her hemoglobin had been approximately 12 g/dl, and she reported increasing fatigue at that office visit. No therapeutic intervention was executed at that time.

She was seen again in clinic on March 26, 2021, with shortness of breath with exertion and difficulty leaning forward. She noted her heart racing with exertion, and she denied being feverish. Her primary care physician had already prescribed antibiotics for bronchitis; she had completed the regimen but said she still felt “terrible.” She had lost eight pounds over a two-week timeframe, and her pulse ox was 94% resting but decreased to 90% with ambulation. The patient was found to have a new pleural effusion on chest X-ray at that time (see Fig. 1a).

pleural effusion

She was set up for an outpatient thoracentesis that was supposed to take place a few days later, but due to progressive shortness of breath, she was admitted to Penn Medicine Lancaster General Hospital (LGH) March 28-29, 2021, for symptoms related to her large left-sided pleural effusion. She underwent a left-sided thoracentesis by Interventional Radiology at LGH; 1,100 mL of fluid was removed. The cytology was positive for a kappa light chain restricted B-cell leukemia/lymphoma dim CD 10+, consistent with relapsed Waldenström macroglobulinemia.

From March 31-April 11, 2021, she was admitted to LGH for fevers and dyspnea. A CT scan of the chest during that admission revealed: “Large LEFT pleural effusion. Extensive adenopathy is noted in the chest. The largest nodes are in the axilla bilaterally. Lymphoma or other lymphoproliferative process should be strongly considered. Tissue diagnosis is recommended.”

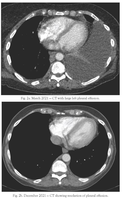
She then underwent a CT abdomen/pelvis on April 1, 2021, which revealed: “Bilateral retroperitoneal adenopathy consistent with the history of lymphoma. Subcutaneous soft tissue nodule likely representing a tumor deposit is also noted in the RIGHT buttock” (see Figs. 2a and 3-5). Prior to this CT scan, she had never had adenopathy noted on a CT scan.

pleural effusion
pleural effusion
pleural effusion
pleural effusion

Due to her recurrent pleural effusion, during the admission she underwent a repeat thoracentesis by Interventional Radiology on April 1, 2021, which revealed 1,580 ml pleural effusion. Cytology was positive for B-cell leukemia/lymphoma. Interventional Radiology also performed a lymph node biopsy and bone marrow biopsy; both were consistent with relapsed Waldenström macroglobulinemia (see Figs. 6-8). Her ibrutinib was discontinued at this time due to treatment inefficacy. Ongoing fevers while hospitalized — likely related to lymphoma — improved with Rituxan®/Bendeka® chemotherapy, which was initiated on April 2, 2021, while hospitalized. Unfortunately, the patient also developed acute kidney injury, thought to be related to a combination of tumor lysis syndrome and NSAID usage. Her creatinine had risen to 1.8 mg/dl. She was given one dose of rasburicase, and allopurinol was initiated. She required two more thoracenteses on April 5 and April 9, 2021.

waldenstrom macroglobulinemia

The patient was discharged home on April 11, 2021. Unfortunately, she was readmitted for the third time to LGH with shortness of breath and recurrent left pleural effusion due to Waldenström macroglobulinemia from April 15-17, 2021. A pigtail catheter was inserted, and 1.6 L of pleural fluid was removed immediately. A mediport was also placed. An oxygen walk study demonstrated that she required 2L oxygen at all times, and this was initiated. The patient’s spouse was taught to drain the patient’s pigtail every two days; she was initially draining about 20 ml/hour. Due to progressive anemia, she also required blood transfusions. After she received three cycles of Rituxan® and Treanda®, she was finally admitted for the fourth and last time on May 26, 2021, with anasarca. She was aggressively diuresed and discharged home on diuretics.

She continued chemotherapy every three weeks at the Lancaster Cancer Center after her initial treatment in April at LGH. She completed a total of eight cycles of Rituxan®/Treanda® on September 1, 2021. CT scans of the chest, abdomen, and pelvis were completed on June 22 and September 16, 2021 (see Figs. 3-5). These revealed: “Improving mediastinal, hilar, axillary, and supraclavicular lymph nodes. Improvement in adenopathy of the abdominal and pelvic regions. There was improvement in the right gluteal mass.”

After the CT scans, different options were discussed with the patient including watchful waiting; Rituxan®; more cycles of Treanda®/Rituxan®; and the addition of a new BTK agent, Brukinsa®. The patient chose watchful waiting, monitoring of her IgM levels and viscosity monthly, as well as undergoing a CT scan 12 weeks later to follow-up on her adenopathy. Other options would have been considered if she developed increasing pleural effusion, increasing adenopathy, or increasing creatinine levels, but these did not occur. She continued to have fluid drainage of her pleural catheter of about 300 ml/week until November 2021, at which time her fluid drainage ceased completely. Her catheter was removed in November 2021 by Interventional Radiology. CT scans in December 2021 revealed no further evidence of disease (see Figs. 2a, 2b, 3-5, and 9).

adenopathy

Since December 2021, the patient’s IgM level has been stable in the 500s (see Fig. 10) and her viscosity has been normal.

IgM

Her last Hgb was 12.4 g/dl, and her creatinine was 1.2. She has been off all therapy for her Waldenström macroglobulinemia since her flare-up, and her functional status as well as the state of her disease have reverted to baseline. Her most recent chest X-ray was free of a pleural effusion (see Fig. 1b).

DISCUSSION
This patient had a flare-up of her Waldenström macroglobulinemia two weeks after receiving her second Moderna SARS-CoV-2 mRNA vaccination, having had stable disease for over six years. The mRNA vaccines allow cells to make proteins to trigger an immune response inside the body. This immune response, producing antibodies, is protective.1 More specifically, on an immunological level, mRNA SARS.CoV-2 vaccines are reported to induce T follicular helper cells (Th) with a Th1 functional profile, which is associated with selective generation of neutralizing antibodies and which stimulate germinal center B-cells, long-lived plasma cells, and memory B-cells; therefore, these vaccines induce a stronger germinal center reaction than recombinant protein vaccines.2 However, the continuous stimulation of T- and B-cells by mRNA SARS-CoV-2 vaccines can trigger aberrant inflammatory responses, leading to lymphoma or accelerating its progression.3

Waldenström macroglobulinemia is an indolent B-cell lymphoma; its progression is usually gradual over time. However, the overstimulation of the T-and B-cells by the mRNA SARS-CoV-2 vaccine can transform an indolent lymphoma into a rapidly progressive process, such as the disease process that occurred in this case.3

In addition, benign reactive lymphadenopathy is a common adverse event associated with mRNA vaccines. A nationwide surveillance study from Israel found that the mRNA vaccine (Pfizer-BioNTech) is associated with a 2.4 times increased risk of lymphadenopathy compared to no vaccine, with an excess of 78 cases per 100,000 vaccines.4 A meta-analysis of nine studies examining changes in 18F-FDG PET/CT scans after SARS-CoV-2 (mainly mRNA) vaccination revealed that 37% of vaccine recipients developed axillary lymphadenopathy on the same side as the shot due to vaccine-related immune responses.5 Since such vaccine-related axillary lymphadenopathy is similar to certain cancers, it is sometimes misdiagnosed as cancer. Patients at risk of cancer spread to axillary lymph nodes — e.g., breast cancer, melanoma, and lymphomas — are thus advised to get vaccinated in the arm opposite the cancer side.5

Unfortunately, mRNA SARS-CoV-2 vaccine-related benign reactive lymphadenopathies can be indistinguishable from pathologic, neoplastic lymphadenopathies, and the clinician must rely on the clinical scenario. Therefore, patients with SARS-CoV-2 vaccine-related lymphadenopathy should receive comprehensive care and follow-up.

Recommendations by the Canadian Society of Breast Imaging, Society of Breast Imaging, and European Society of Breast Imaging for the treatment of lymphadenopathy after the administration of mRNA SARS-CoV-2 vaccines advise waiting and monitoring for four to six weeks.6-8 Opinions differ, however, on whether a long-term observation is acceptable for distinguishing benign from neoplastic lymphadenopathy, since lymph node swelling after the administration of mRNA SARS-CoV-2 vaccines has been reported to persist for more than four weeks in 20% to 50% of patients in the United States, depending on the study.9-10

In particular, lymphadenopathy in an atypical region (such as the upper cervical region), involvement of multiple lymph nodes, and extraordinary enlargement of lymph nodes may need to be observed for a shorter duration of approximately four weeks before treatment, as recommended by the three societies above.6-8 On the contrary, lymphomas that are relatively benign and have a long progression — as seen in this case — pose a risk of misdiagnosis or a missed diagnosis if the lymphoma flare develops after vaccination.3 Therefore, careful observation is recommended in the case of post-SARS-CoV-2 vaccination lymph node enlargements, even if they occur four to six weeks after the second vaccination.3

Finally, certain mutations within the lymphomas might make them more sensitive to mRNA vaccines. A 2018 study showed that mice with RHOA G17V and TET2 mutations developed lymphoma upon immunization with sheep red blood cells, and it was the RNA present in the sheep’s red blood cells that was responsible for the immunization.10

There have been other incidental case reports in the literature of B- and T-cell lymphomas that have occurred or flared after mRNA SARS-CoV-2 vaccinations. Examples of these include a case report describing a rapid progression of marginal zone B-cell lymphoma after SARS-CoV-2 vaccination, as well as a recurrence or progression of a CD30-positive T-cell lymphoma induced by mRNA SARS-CoV-2 vaccinations.3,11

Although the precise mechanisms for T-cell lymphomas induced by the mRNA SARS-CoV-2 vaccines are still not entirely known, it is hypothesized that mRNA SARS-CoV-2 vaccines may have the capability to overstimulate the immune system as well as trigger autoimmune responses.3 It is theorized that vaccination, or any other immune stimulant for that matter, may disturb the delicate balance in the immune surveillance of cancer cells.12

There is a possibility that this patient’s lymphoma progression would have happened regardless of vaccination, but given the temporal, spatial, and theoretical evidence that exists, it is unlikely to be coincidental. There is a possibility that people with lymphoma might feel safer if they opt for non-mRNA vaccines instead.12 Coupled with several anecdotes or unpublished cases, lymphoma progression might very well be a rare adverse event associated with the mRNA SARS-CoV-2 vaccine. However, the novelty of this issue is also a testament to how rare this adverse event is.13

Other rare SARS-CoV-2 vaccine-related adverse events, such as vaccine-induced thrombotic thrombocytopenia (VITT) and myocarditis, were discovered much earlier when vaccine rollout began. Given the immunocompromised state of lymphoma patients, the vaccine benefits in protecting against SARS-CoV-2 could not be more vital. However, these patients may consider opting for non-mRNA SARS-CoV-2 vaccines if they have a similar lymphoma occurrence, although other experts may disagree with this advice, given how rare and novel mRNA vaccine-associated lymphoma progression is.13

In conclusion, this case illustrates a flare-up of Waldenström macroglobulinemia following mRNA SARS-CoV-2 vaccination. Lymphadenopathy induced by mRNA SARS-CoV-2 vaccination is not rare; therefore, clinicians should be aware of the atypical features of lymphadenopathy to prevent delayed diagnosis during monitoring of the signs and symptoms. Attention should be paid to the development of lymphoma within four to six weeks after SARS-CoV-2 vaccination. Moreover, care should be taken to avoid overlooking relatively benign, slowly progressing lymphomas, such as Waldenström macroglobulinemia.3

As mentioned, there have been reports of diagnosis, relapse, and progression of lymphoma after vaccination, but it should be noted that such evidence is still anecdotal and should not outweigh the benefits of vaccines in cancer patients who are often immunocompromised and thus are at high risk of severe COVID-19. Understanding the nuanced intricacies in certain outlier situations will help us better understand vaccine safety and the significance of vaccine safety transparency. In the end, no drug is risk free. Each patient must weigh the risks and benefits of a given situation.13

For patients who have cancer, vaccine administration can be complicated due to exclusion from vaccine approval trials. Due to the complexity of the cancer pathophysiology, it is difficult to extrapolate the appropriate dosing and administrative regimens using data from trials of healthy populations. Most recommendations regarding the SARS-CoV-2 vaccines for patients with cancer are extrapolated from other vaccine studies. Since the vaccines have been showing some promising safety results, efforts should be put toward observational studies for cancer patients to have a better safety and efficacy profile.13
 

KEY TAKEAWAY
There have been reports of diagnosis, relapse, and progression of lymphoma after vaccination, but it should be noted that such evidence is still anecdotal and should not outweigh the benefits of vaccines in cancer patients who are often immunocompromised and thus are at high risk of severe COVID-19. Understanding the nuanced intricacies in certain outlier situations will help us better understand vaccine safety and the significance of vaccine safety transparency.


REFERENCES
1. Understanding How COVID-19 Vaccines Work. Centers for Disease Control and Prevention. Updated May 12, 2023. Accessed July 17, 2023. https://www.cdc.gov/coronavirus/2019-ncov/vaccines/different-vaccines/how-they-work.html
2. Lederer K, Castaño D, Gómez Atria D, et al. SARS-CoV-2 mRNA vaccines foster potent antigen-specific germinal center responses associated with neutralizing antibody generation. Immunity. 2020;53:1281-1295.e5.
3. Sekizawa A, Hashimoto K, Kobayashi S, et al. Rapid progression of marginal zone B-cell lymphoma after COVID-19 vaccination (BNT162b2): a case report. Front Med (Lausanne). 2022;9:963393.
4. Barda N, Dagan N, Ben-Shlomo Y, et al. Safety of the BNT162b2 mRNA COVID-19 vaccine in a nationwide setting. N Engl J Med. 2021;385(12):1078-1090.
5. Chua TH, Takano A. Pathological findings in COVID-19 and non-COVID-19 vaccine-associated lymphadenopathy: a systematic review. J Clin Med. 2022;11(21):6290.
6. Grimm L, Destounis S, Dogan B, Nicholson B, Dontchos B, Sonnenblick E. SBI Recommendations for the Management of Axillary Adenopathy in Patients with Recent COVID-19 Vaccination. Society of Breast Imaging; 2021.
7. Seely JM, Barry MH. The Canadian Society of Breast Imaging recommendations for the management of axillary adenopathy in patients with recent COVID-19 vaccination — update. Can Assoc Radiol J. 2021;72(4):601-602.
8. Schiaffino S, Pinker K, Magni V, et al. Axillary lymphadenopathy at the time of COVID-19 vaccination: ten recommendations from the European Society of Breast Imaging (EUSOBI). Insights Imaging. 2021;12(1):119.
9. Abou-Foul AK, Ross E, Abou-Foul M, George AP. Cervical lymphadenopathy following coronavirus disease 2019 vaccine: clinical characteristics and implications for head and neck cancer services. J Laryngol Otol. 2021;135(11):1025-1030.
10. Cortes JR, Ambesi-Impiombato A, Couronné L, et al. RHOA G17V induces T follicular helper cell specification and promotes lymphoma-genesis. Cancer Cell. 2018;33(2):259-273.e7.
11. Goldman S, Bron D, Tousseyn T, et al. Rapid progression of angioimmunoblastic T cell lymphoma following BNT162b2 mRNA vaccine booster shot: a case report. Front Med (Lausanne). 2021;8:798095.
12. Yong SJ. Vaccine safety transparency: mRNA vaccine might worsen lymphoma cancer in extremely rare cases. Microbial Instincts. Published online October 7, 2022. Accessed July 17, 2023. https://medium.com/microbial-instincts/vaccine-safety-transparency-mrna-vaccine-might-worsen-lymphoma-cancer-in-extremely-rare-cases-370d7a895f74
13. Mekkawi R, Elkattan BA, Shablak A, Bakr M, Yassin MA, Omar NE. COVID-19 vaccination in cancer patients: a review article. Cancer Control. 2022;29:10732748221106266.